症    例   13 (H29.10.7)

ロイヤルエナメル 





 * ロ イヤル エナ メル セット例-9(エナメル5本+オールセラミック1本)




右側貌
正面 左側貌
術前





術後









症    例   12 (H29.10.7)

ロイヤルエナメル 





 * ロ イヤル エナ メル セット例-8(エナメル5 本+オールセラミック1本)





右側貌
正面 左側貌
術前





術後








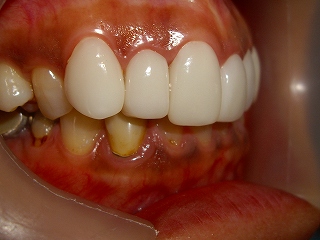
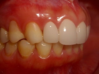
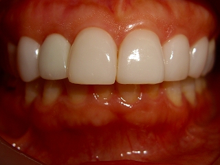
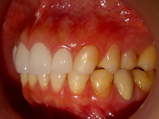
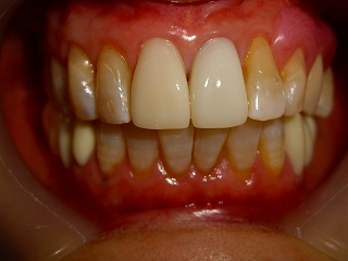
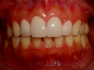
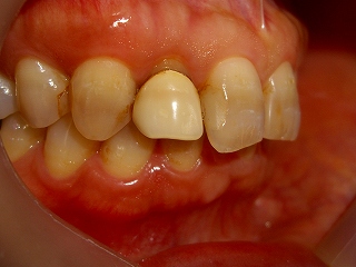
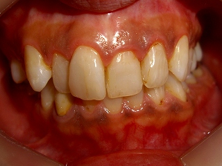
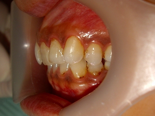
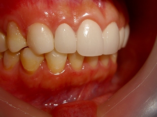
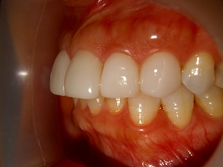
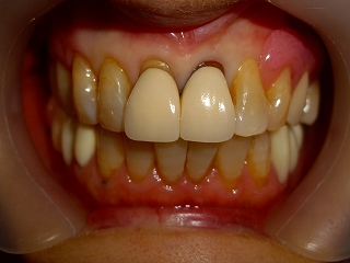
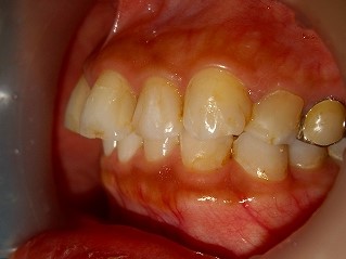
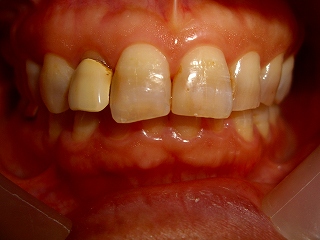
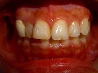
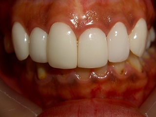
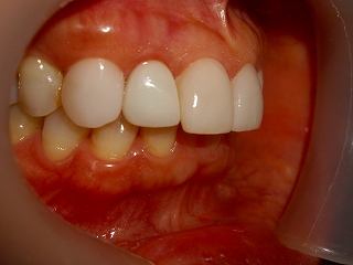
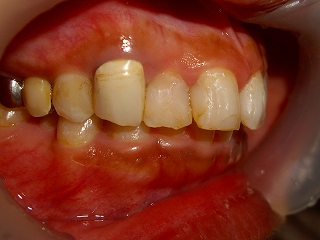
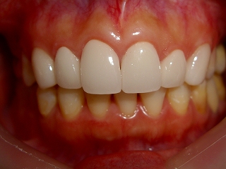
症     例   11 (H29.7.1)

ロイヤルエナメル 





 * ロ イヤル エナ メル セット例-7(エナメル5本+オールセラミック1本)

歯並び、歯の色調を気にされています。

一部分に最小限の形成をくわえ審美性の回復を求めました




右側貌
正面 左側貌
術前





術後






歯並び、色調とも回復し

審美性が回復されています




症     例   10 (H29.1.6)

ジルコニアクラウン 





 * ジ ルコニア クラウン セット例-1(2本)


上顎前歯2本
歯肉が退縮し歯根が露出し審美性をきにされています


右側貌
正面 左側貌
術前





術後
 



歯頚部マージンの適合が回復され
 審美性が回復されています




症     例   9 (H29.1.1)

ロイヤルエナメル 





 * ロ イヤル エナ メル セット例-6(エナメル2本)


上顎前歯4本は既に補綴済み(e-MAX)です
両側犬歯との色調を気にされています
全く形成を加えず、色調の改善を追求しました


右側貌
正面 左側貌
術前





術後






前歯6本の色調が統一され
素敵な笑顔を獲得され満足
されています





Copyright (C) 2013 Kanesaki Dental Clinic. All Rights Reserved.