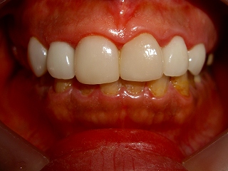
症    例   8 (H28.10.1)

ロイヤルエナメル 





 * ロ イヤル エナ メル セット例-5(上顎前歯6本)
 

上顎前歯の歯間離開を気にされていました
前 歯2本の歯軸の傾斜を説明し審美性を考慮
して最小限の形成を加えさせていただきました





右側貌
正面
左側貌
術前






術後







素敵な笑顔を獲得さ れ大変満足されています






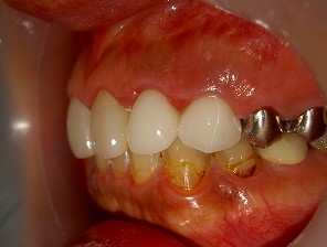
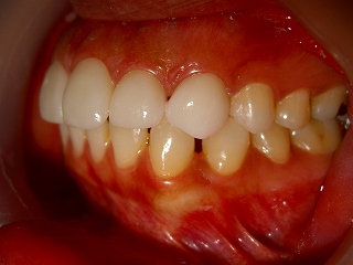
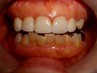
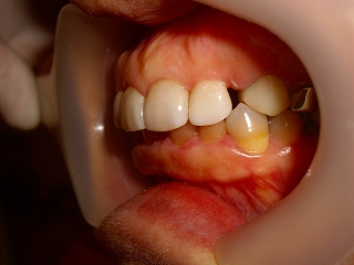
症    例   7 (H28.10.1)

フレックスデンチャー 





 * フレックス デンチャー セット例-1(上顎前右前歯 2本)

右上前歯2本の補綴を希望されました
保険上では、金属のバネが目立つので
自費診療のフレックスデンチャーを、勧めました



右側貌
正面
左側貌
術前






術後


とても自然観があり、満足していただきました
 





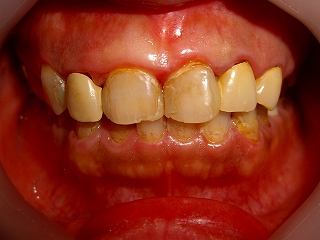
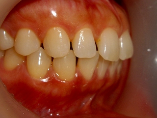
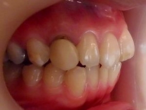
症    例   6 (H28.9.14)

ロイヤルエナメル 





 * ロ イヤル エナ メル セット例-4(エナメル2本)


上顎前歯2本の表面の白濁を気にされていました

形態の回復をご説明し了解を得て最小限の形成を加えました


右側貌
正面 左側貌
術前





術後






白濁が消え、歯並びも回復しています
色調もマッチし自然観が出ています
素敵な笑顔を獲得されました






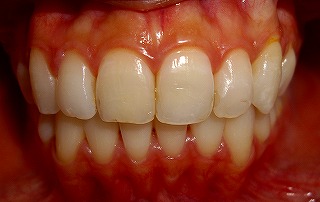
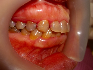
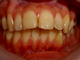
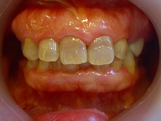
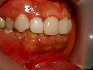
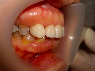
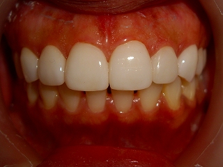
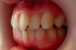
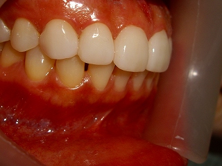
症    例   5 (H28.9.10)

ロイヤルエナメル 





 * ロ イヤル エナ メル セット例-3(エナメル3本+オールセラミック3本)


保険での補綴物の変色、適合不良を気にされています
また、ご自身の歯も変色着色があります



右側貌
正面 左側貌
術前





術後


エナメル3本とオールセラミック3本にて対応いたしまし た。
より白さ明るさを希望されたので一番明るいB1シェードを選びました。







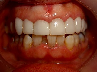
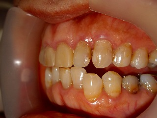
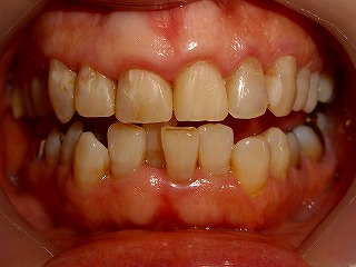
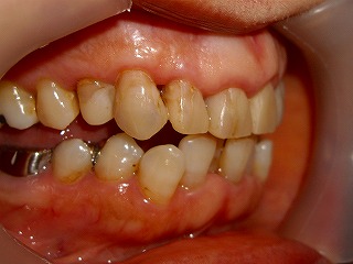
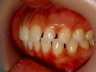
症    例   4 (H28.9.10)

ロイヤルエナメル 





 * ロ イヤル エナ メル セット例-2(上顎前歯5本)

テトラサイクリン系薬剤の服用によって歯の変色した患者さまです
他院にてホワイトニングでは白くするのは無理と言われたとのことです


右側貌
正面
左側貌
術前






術後


患者様のご希望により、真っ白より少し控えめなシェードを 選びました
口腔内で自然観が出て、患者様は大変満足をされています






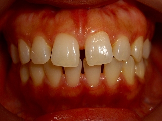
症    例   3 (H28.9.10)

ロイヤルエナメル 





術 前 ( ロイヤル エ ナ メル セット例-1 )


ロイヤル エナ メル
上顎左右10本
ロイヤル エナ メル
模型に仮着






術 後(ロイヤル エ ナ メ          ル セット例-1 )














症    例   2 (27.11H.8)

根 尖 病 巣





  根尖病巣(CT画像)  









症   例  1     (H27.9.3)  

上顎前突(非抜歯)



矯  正 前 後 の 口 腔 内 歯 列 観-1

患者  24 歳 
 女 性
治療期間 3 年              
主訴  前歯の出っ歯と 歯並びを直 したい
 口が閉じれない 
  歯を抜きたくない


 

矯 正前 右側歯列観 矯 正前 正面歯列観 矯 正前 左側歯列観



矯 正後 右側歯列観 矯 正後 正面歯列観 矯 正後 左側歯列観

今回は、 患者様の希望と主訴により、非抜歯で対処しましたがケースによって
は、抜歯が必要な場合があります
この症例の場合、成人してからの矯正治療でしたので治療期間がかかりまし
たが、もうすこし若い年齢ならばさらに治療期間を短縮できる可能性があります
この症例では、舌が大きかったために小臼歯を抜歯すると舌の納まりが狭く
なりそれがストレス、後戻りしやすくなるため非抜歯矯正としました

咬み合 わせが深い過蓋咬合症例では小臼歯を抜歯するとより咬み合わせが
深くなり治療が困難となりますので出来れば非抜歯がよいとされています








Copyright (C) 2013 Kanesaki Dental Clinic. All Rights Reserved.