金 属 ア レ ル ギ ー



             症例  3年前から全身に尋麻疹が強く出て、原因が分からなかった患者様です。

            金属アレルギーを疑い皮膚科にて歯科用金属にアレルギー陽性反応(++)

            の結果が出た患者様です。

            当院の治療として

                 *奥歯に入っていた金属をすべて除去し、オールセラミックに変更
                 
                 *口腔内は金属フリーとなりアレルギー源はなくなった。                 
      
            治療の結果として

                 *金属色の歯は白い歯となり審美性の向上が認められた。
       
                 *長年の問題だったアレルギー症状は、徐々に和らいできた。 
                             


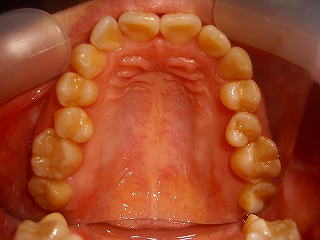
治療後の上顎                        治療後の下顎




         
治療中右下奥歯金属インレーと金属去し 
形成したところ         
        
左上奥歯を金属からセラミッ クに変更
した
ところ         
                  


           患者様からの感謝の声







Copyright (C) 2013 Kanesaki Dental Clinic. All Rights Reserved.