クリスタルホワイトニング

ク リスタルのように光り  輝やく白い歯は、素敵な口元魅力的な笑顔を提供し,あなたを 明るく愉しい人生へと誘うことでしょう !!


当院のホワイト ニングの特徴 
最新機器で発熱 が少ない
しみにくい
歯に艶がでる
歯表面が一層コーティング
  され歯質が強くなる

従来のホワイト ニング
発熱があり熱い
しみる(しみやすい)
歯表面が脱灰される

ホワイトニング の種類

オフィスホワイ トニング
              院内で行う
ホームホワイトニング 
              家庭で行う


クリスタルホワイトニングポスター


ホワイトニング照射器
光照射器(オ フィスホワイトニング用)

 最新技術を駆使したハイパーLEDを使用

 有害な紫外線、赤外線をカット

 発熱がほとんど無く安全



ホワイトニング手順


歯面清掃
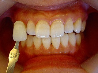
シェードテイキング
ひかり照射

ひかり照射後




症                 例


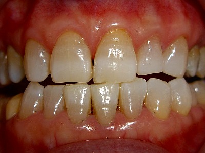
ホワイトニング治療前
ホワイトニング 治療前 

  歯と歯茎の境の歯の色がグレー色

  患者様は、大きく笑うと気になると
  言われていました
  
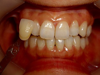
ホワイトニング治療後 ホワイトニング 治療後

   治療後は境のグレー色は全くなくなり
   明るさ、透明感がでていて一目瞭然
   です






Copyright (C) 2013 Kanesaki Dental Clinic. All Rights Reserved.