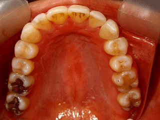
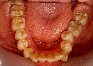
症          例 

上顎前突(非抜歯)



 

術前

















術後










)





術前 術後









Copyright (C) 2013 Kanesaki Dental Clinic. All Rights Reserved.